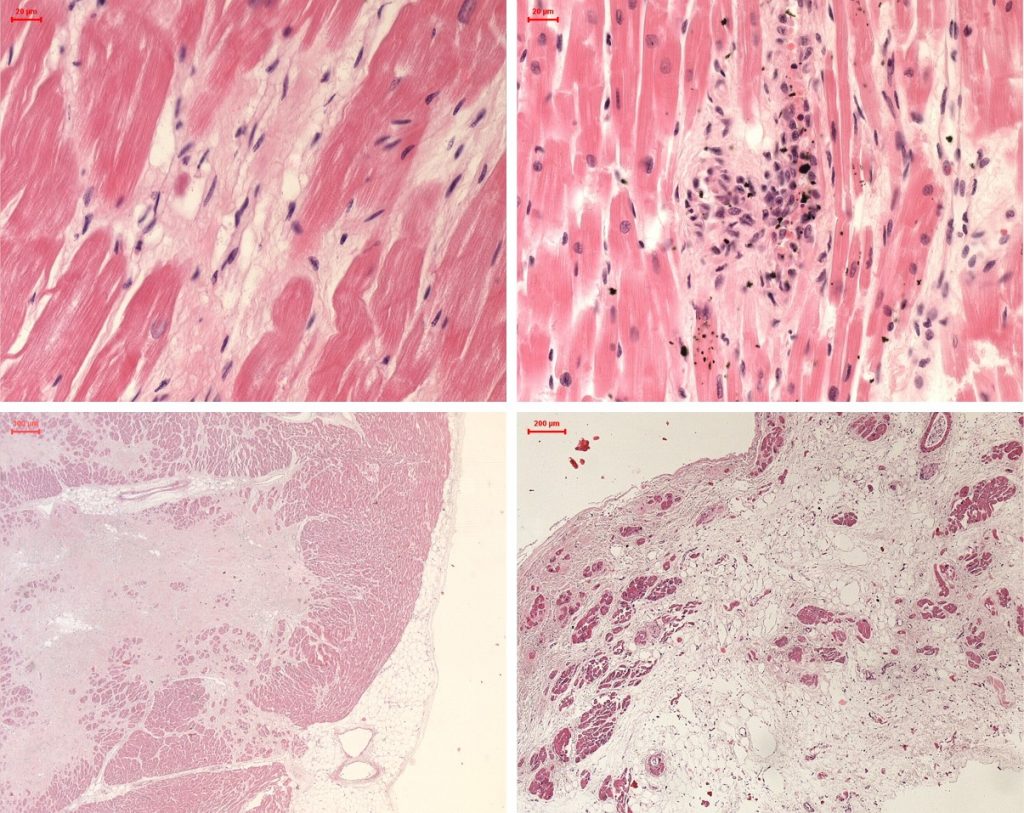
Die histologischen Untersuchungen von Herzmuskelgewebe erfolgen zur Beurteilung und Quantifizierung morphologischer Veränderungen des Herzgewebes (z.B. Myozytenhypertrophie, Fibrosenachweis). Die histopathologische Begutachtung der Herzmuskelbiopsien mit Hilfe der Licht- und Fluoreszenzmikroskopie nach histologischen Standardfärbungen (Azan, Hämatoxylin-Eosin (HE), Elastica-van-Gieson (EvG), PAS ggf. Trichrom) an Paraffinschnitten bildet die Grundlage der feingeweblichen mikroskopischen Diagnostik, primär für den Nachweis einer aktiven Myokarditis entsprechend den Dallas Kriterien bzw. den Nachweis einer chronischen lymphozytären Myokarditis.
Des Weiteren erfolgt durch die histologische Analyse der Nachweis einer Riesenzell-Myokarditis, einer Sarkoidose bzw. einer eosinophilen Myokarditis.
Die Identifizierung und Charakterisierung von Speicherkrankheiten stellen eine wichtige Differentialdiagnose bei dem klinischen Verdacht auf eine hypertrophe Kardiomyopathie dar. Sie beschreiben eine Gruppe von systemischen Erkrankungen mit kardialer Manifestation, bei denen es zu einer Ablagerung krankheitsspezifischer Substanzen im Herzen kommt. Bei einem Verdacht auf Speichererkrankungen (Amyloidose, Morbus Fabry, Hämochromatose) erfolgen endgültigen Diagnosefindung weitere zusätzliche Spezialfärbungen (Eisen-Färbung, Kongorot-Färbung oder Toluidinblau-Färbung) (1,2,3,4,5).
Serviceangebote Histologie
- Gewebefixierung (Formalin) und Lagerung
- Einbettung der Gewebe in Paraffinblöcke
- Anfertigung von Schnittserien am Rotationsmikrotom
- Färbung der Gewebe
- Fluoreszenz- und Lichtmikroskopie
- Digitale Vermessung und Auswertung morphologischer Strukturen
- Digitalbilder repräsentativer Gewebeausschnitte
- Archivierung der Befunde, Gewebeblöcke und Präparate
- weitere Färbungen/Untersuchungen auf Wunsch des Einsenders möglich

Probenset Anforderung: Download
Annahmezettel: Download
Referenzen:
- Maron BJ, Desai MY, Nishimura RA, Spirito P, Rakowski H, Towbin JA, Rowin EJ, Maron MS, Sherrid MV. Diagnosis and Evaluation of Hypertrophic Cardiomyopathy: JACC State-of-the-Art Review. J Am Coll Cardiol. 2022 Feb 1;79(4):372-389. doi: 10.1016/j.jacc.2021.12.002. PMID: 35086660. https://pubmed.ncbi.nlm.nih.gov/35086660/
- Pereira NL, Grogan M, Dec GW. Spectrum of Restrictive and Infiltrative Cardiomyopathies: Part 2 of a 2-Part Series. J Am Coll Cardiol. 2018 Mar 13;71(10):1149-1166. doi: 10.1016/j.jacc.2018.01.017. PMID: 29519356. https://pubmed.ncbi.nlm.nih.gov/29519356/
- Azevedo O, Cordeiro F, Gago MF, Miltenberger-Miltenyi G, Ferreira C, Sousa N, Cunha D. Fabry Disease and the Heart: A Comprehensive Review. Int J Mol Sci. 2021 Apr 23;22(9):4434. doi: 10.3390/ijms22094434. PMID: 33922740; PMCID: PMC8123068. https://pubmed.ncbi.nlm.nih.gov/33922740/
- McKenna WJ, Caforio ALP. Myocardial Inflammation and Sudden Death in the Inherited Cardiomyopathies. Can J Cardiol. 2022 Apr;38(4):427-438. doi: 10.1016/j.cjca.2022.01.004. Epub 2022 Jan 13. PMID: 35032619. https://pubmed.ncbi.nlm.nih.gov/35032619/
- Frustaci A, Verardo R, Caldarulo M, Acconcia MC, Russo MA, Chimenti C. Myocarditis in hypertrophic cardiomyopathy patients presenting acute clinical deterioration. Eur Heart J. 2007 Mar;28(6):733-40. doi: 10.1093/eurheartj/ehl525. Epub 2007 Feb 19. PMID: 17309901. https://pubmed.ncbi.nlm.nih.gov/17309901/